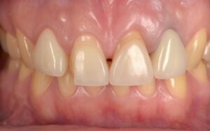
roppongikamae_No44_before_001_hp

Back
医学系研究における診療情報利用に関するお知らせ

contact

お問い合わせ・お申し込みはこちら

ご依頼やご質問がございましたら、メールにてお問い合わせください。
送付いただいた内容を確認の上、担当者よりご連絡させていただきます。

access

医院情報

六本木カマエデンタルオフィス

住所
〒106-0032
東京都港区六本木7-4-1スマイリービル1階
アクセス
都営地下鉄大江戸線  六本木駅  7番出口より徒歩3
東京メトロ日比谷線  六本木駅  4a出口より徒歩3
東京メトロ千代田線  乃木坂駅  3番出口より徒歩4
電話番号
03-5772-4618
診療時間 日・祝日
11:00-14:00 ×
15:00-19:00 ×

休診日:土曜・日曜・祝日

 

△…基本的に第一土曜のみ診療いたします。

※月に一度、土曜日診療を行っております。