
2024.03.02
|
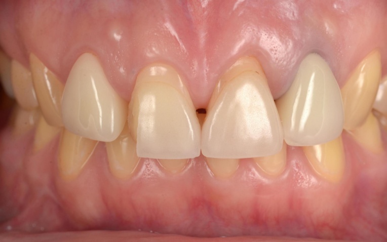
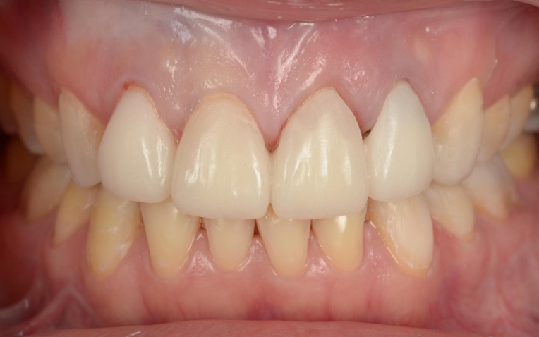
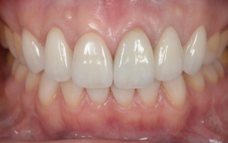
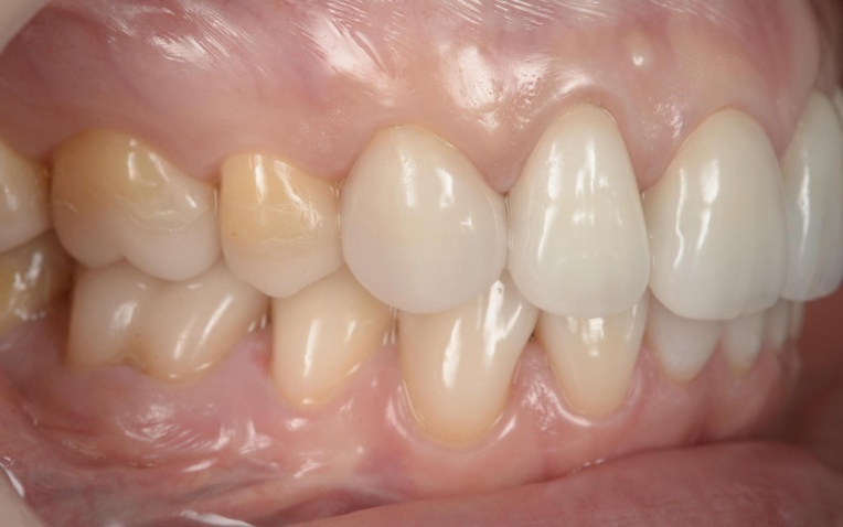
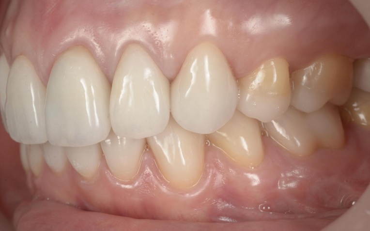
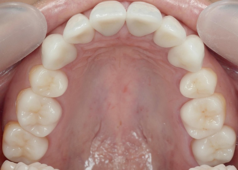
30代女性 |
|
| 相談内容 |
「歯をきれいにしたい」とご相談いただきました。 |
| 診断結果 |
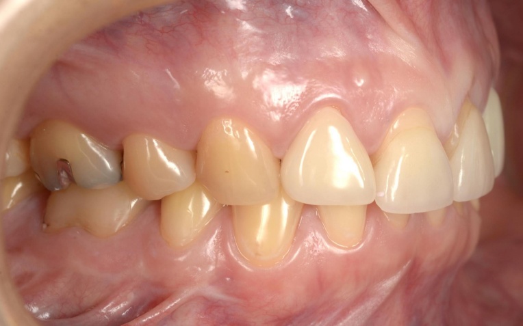
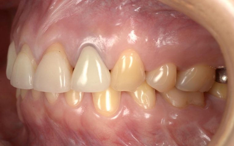
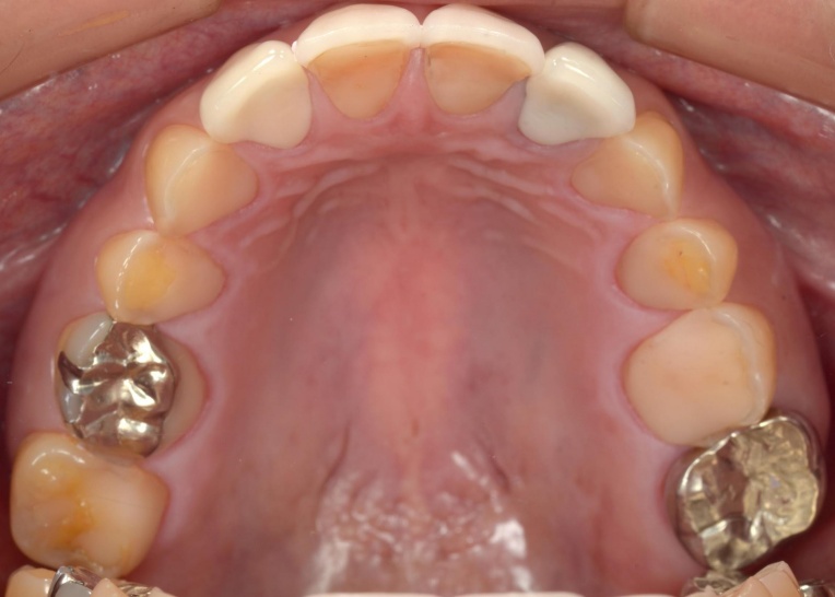
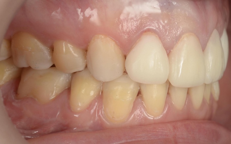
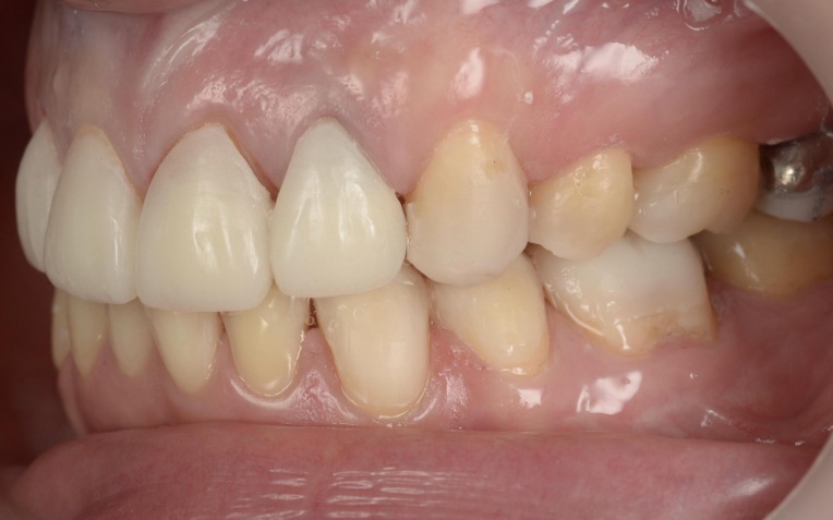
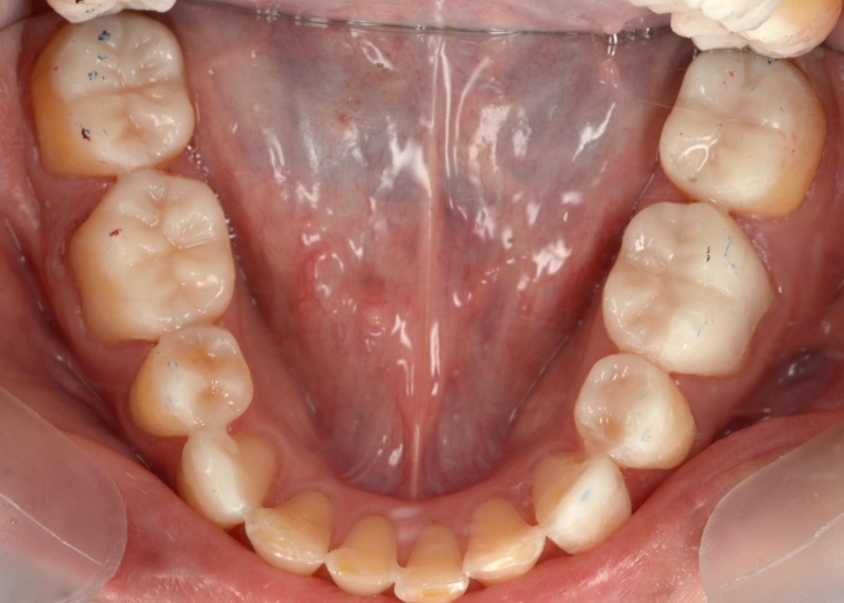
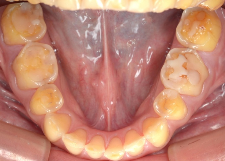
拝見したところ、上下とも全体的に酸蝕症(さんしょくしょう)が認められました。 |
| 治療内容 |
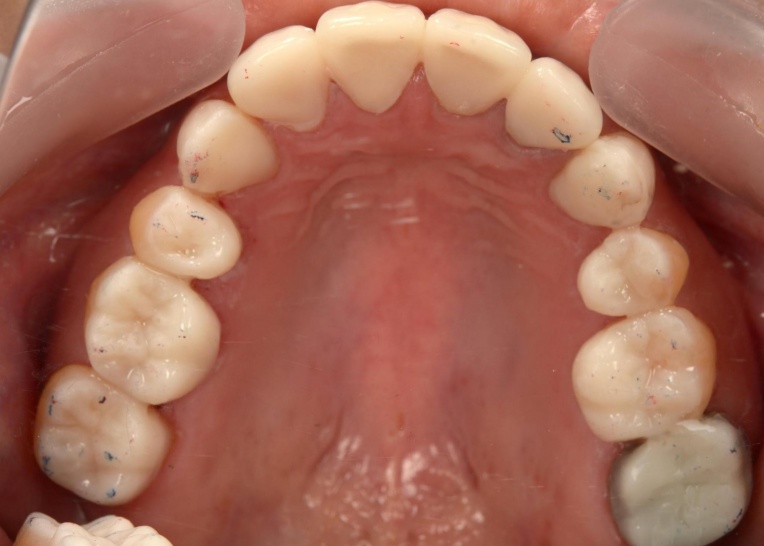
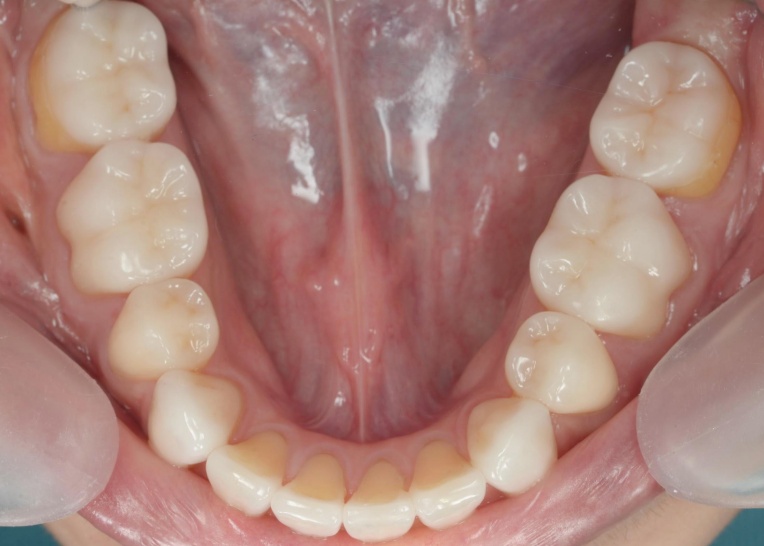
酸蝕症になっているすべての歯に被せ物を装着する治療を提案しました。 |
| 費用 |
5,280,000円 |
| 治療期間 |
12ヶ月 |
| リスク・備考 | ・装着に際し、天然歯を削る必要があります ・硬い素材の場合、他の天然歯を傷つけることがあります ・噛み合わせや歯ぎしりが強い場合、セラミックが割れる可能性があります ・一部の治療を除き、自費診療(保険適用外治療)です |












ご依頼やご質問がございましたら、メールにてお問い合わせください。
送付いただいた内容を確認の上、担当者よりご連絡させていただきます。
六本木カマエデンタルオフィス
| 診療時間 | 月 | 火 | 水 | 木 | 金 | 土 | 日・祝日 |
|---|---|---|---|---|---|---|---|
| 11:00-14:00 | 〇 | 〇 | 〇 | 〇 | 〇 | △ | × |
| 15:00-19:00 | 〇 | 〇 | 〇 | 〇 | 〇 | △ | × |
休診日:土曜・日曜・祝日
△…基本的に第一土曜のみ診療いたします。
※月に一度、土曜日診療を行っております。