
2026.04.22
|
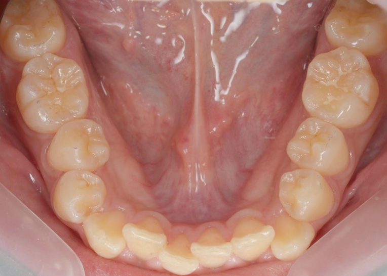
20代女性 |
|
| 相談内容 |
「就職までに歯並びを治療したい」とご相談いただきました。 |
| 診断結果 |
拝見したところ、歯が部分的に重なり合って並んでいる、中程度の「叢生(そうせい)」が認められました。 |
| 治療内容 |
患者様は4月から就職予定で、通院頻度の確保が難しくなることが予想されたため、可能な限り短期間で歯並びの改善を図る「非抜歯矯正」を提案し、同意いただきました。 |
| 費用 |
1,430,000円 |
| 治療期間 |
1年 |
| リスク・備考 | ・治療中、発音しにくい場合があります ・治療中、舌が動かしにくいことがあります ・治療中、装置によってまれに頬の内側が傷つき、口内炎になる場合があります ・歯の移動に伴って、違和感や痛みを感じる場合があります ・冷たいものを飲んだときに歯がしみる「知覚過敏」の症状が出る場合があります ・正しいブラッシングやメンテナンスを行わない場合、虫歯や歯周病のリスクが高まります |













2023.12.05

2023.12.04

2023.11.08

2023.11.07

2023.10.04

2023.10.03

2023.08.03

2023.08.03

2023.07.05
ご依頼やご質問がございましたら、メールにてお問い合わせください。
送付いただいた内容を確認の上、担当者よりご連絡させていただきます。
六本木カマエデンタルオフィス
| 診療時間 | 月 | 火 | 水 | 木 | 金 | 土 | 日・祝日 |
|---|---|---|---|---|---|---|---|
| 11:00-14:00 | 〇 | 〇 | 〇 | 〇 | 〇 | △ | × |
| 15:00-19:00 | 〇 | 〇 | 〇 | 〇 | 〇 | △ | × |
休診日:土曜・日曜・祝日
△…基本的に第一土曜のみ診療いたします。
※月に一度、土曜日診療を行っております。
