
2026.04.22
|
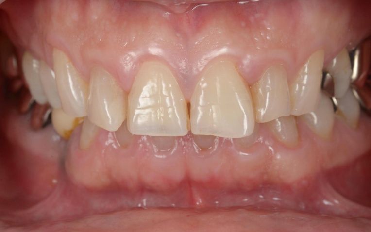
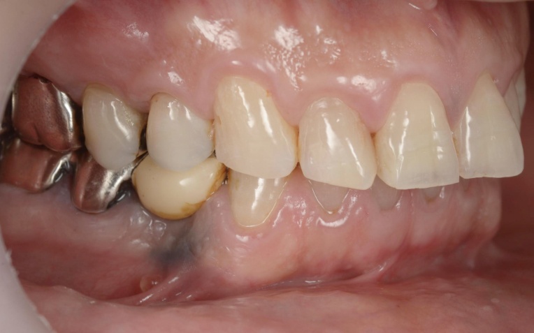
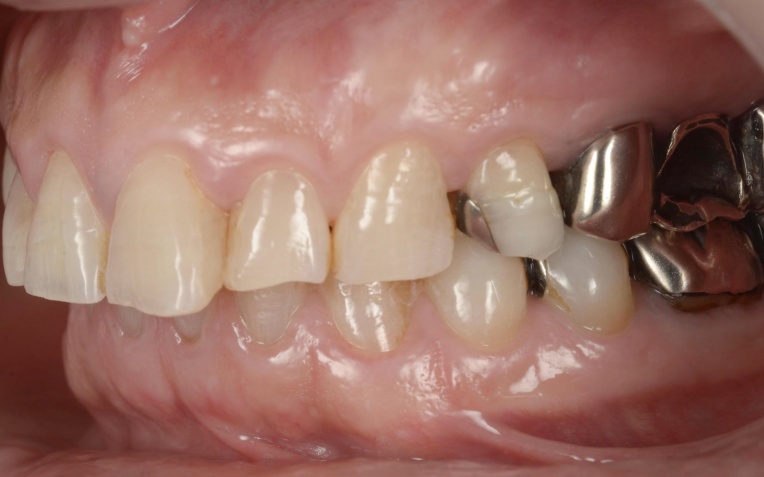
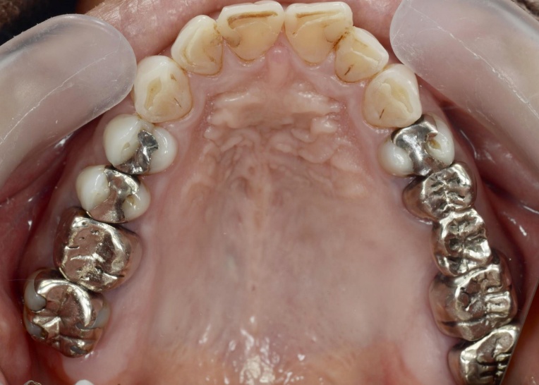
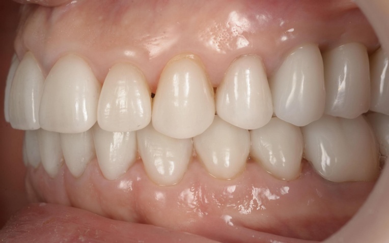
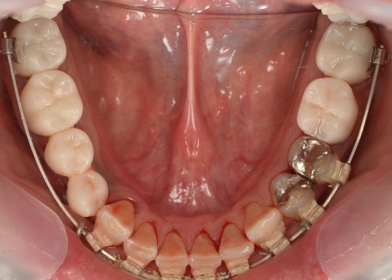
40代男性 |
|
| 相談内容 |
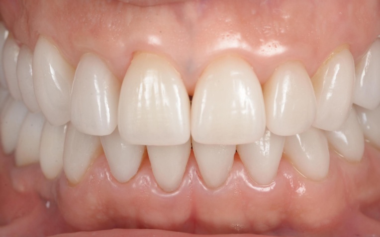
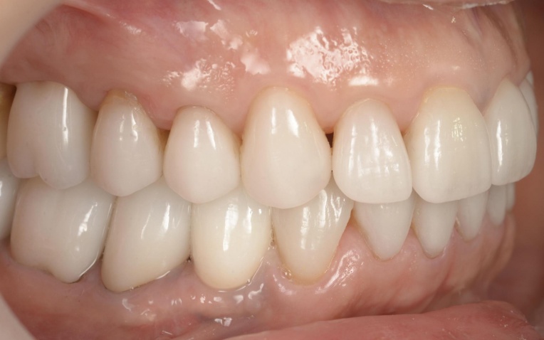
「歯を白くしたい」とご相談いただきました。 |
| 診断結果 |
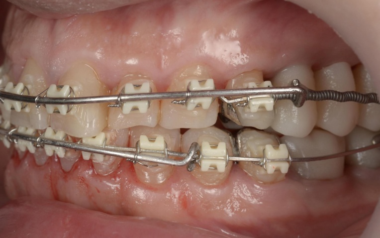
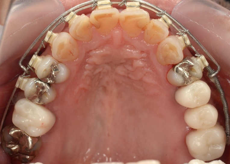
拝見したところ、上下の前歯部に黄ばみや着色が見られました。 |
| 治療内容 |
診断結果を踏まえて、歯茎の状態や噛み合わせなどの口腔状態を改善したのち、見た目と機能を回復するために白い被せ物を装着する計画を提案し、同意いただきました。 |
| 費用 |
8,800,000円 |
| 治療期間 |
1年6ヶ月 |
| リスク・備考 | ・装着に際し、天然歯を削る場合があります ・硬い素材の場合、他の天然歯を傷つけることがあります ・治療中、発音しにくい場合があります ・治療中、舌が動かしにくいことがあります ・外科処置後に痛みが長引く場合があります。必要に応じ痛み止めを併用します ・外科処置後のメンテナンスを怠ると、良好な結果が得られない可能性があります |













2023.12.05

2023.12.04

2023.11.08

2023.11.07

2023.10.04

2023.10.03

2023.08.03

2023.08.03

2023.07.05
ご依頼やご質問がございましたら、メールにてお問い合わせください。
送付いただいた内容を確認の上、担当者よりご連絡させていただきます。
六本木カマエデンタルオフィス
| 診療時間 | 月 | 火 | 水 | 木 | 金 | 土 | 日・祝日 |
|---|---|---|---|---|---|---|---|
| 11:00-14:00 | 〇 | 〇 | 〇 | 〇 | 〇 | △ | × |
| 15:00-19:00 | 〇 | 〇 | 〇 | 〇 | 〇 | △ | × |
休診日:土曜・日曜・祝日
△…基本的に第一土曜のみ診療いたします。
※月に一度、土曜日診療を行っております。
