40代男性 矯正治療で噛み合わせを改善してからインプラント治療を行った症例

矯正
2026.03.24

40代男性

相談内容

「友人の歯科医院で検診を受けたところ、歯が折れていると指摘されたのでこちらに来院した」とご相談いただきました。

診断結果

拝見したところ、右下奥歯(第2大臼歯)が折れていることが確認できました。
この歯は、過去に神経を取る治療を受けています。

また、患者様は下顎が上顎よりも前に出る「反対咬合(こうごう)」、いわゆる受け口の傾向があることがわかりました。
このような骨格の特徴がある場合、噛む力のバランスが崩れやすく、奥歯や前歯に負担がかかりやすくなります。

さらに、神経を取った歯は歯がもろくなりやすく、強い力がかかり続けると歯が折れるリスクが高まります。
今回折れてしまったのも、噛み合わせが影響していると考えられました。

このまま放置すると、ほかの歯にも同じように負担がかかって折れてしまったり、被せ物や歯を支える骨、歯茎などへの負担が増えたりするおそれがあります。

以上のことから、折れた歯の治療と噛み合わせを改善する必要があると診断しました。

治療内容

診断結果を踏まえ、以下の治療を提案しました。

①まず、ワイヤー矯正治療で噛み合わせを整える
ワイヤーの力を使い、歯の位置を少しずつ動かしながら噛み合わせ全体を整える治療です。今回のケースでは、折れている歯を一時的に利用しながら矯正治療を進めます。

メリット
・噛み合わせのバランスを整え、特定の歯に強い負担がかかる状態を改善できる
・歯が折れるなど、口腔内トラブルのリスクを減らせる

デメリット
・ワイヤーが目立ちやすい
・治療に一定の期間がかかる

②矯正治療終了後、失った歯の部分にインプラント治療を行う
インプラントとは、顎の骨に人工歯根を埋め込み、その上に被せ物を装着することで歯を補う治療です。

メリット
・周囲の歯を削らずに歯を補うことができる
・自分の歯のようにしっかり噛める
・見た目も自然に仕上がる

デメリット
・外科処置が必要になる
・治療期間が比較的長くなることがある
・自費診療になることが多い

今回は、当院で矯正治療を行い、ご友人の歯科医院である小樽山岡デンタルオフィスにてインプラントと被せ物の治療を行う計画です。
それぞれの治療を担当する歯科医師が協力しながら進めることで、できるだけ早期に見た目と機能、両方の改善を目指します。

また今回のケースでは、折れている歯を矯正治療中に一時的に利用する必要があります。
そのため、矯正治療が終了したあとは速やかにインプラント治療へ進む予定であることもあわせてご説明し、治療に同意いただきました。

まず、ワイヤー矯正装置を用いた矯正治療を開始します。
折れている歯を一時的に利用しながら、受け口傾向にある噛み合わせが改善するよう、歯の位置を少しずつ調整していきました。

矯正治療中は定期的に来院いただき、装置の調整を行います。
歯や歯茎の状態、噛み合わせの変化を確認しながら、目標とする歯並びと噛み合わせに近づくよう治療を進めました。

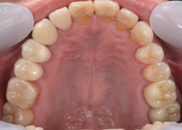
矯正治療終了後は、整えた歯並びが後戻りしないよう、細いワイヤーを固定して歯並びを安定させる装置「リテーナー」を装着しました。

その後、小樽山岡デンタルオフィスにてインプラント治療と被せ物の治療を行い、治療を終了しています。

費用

1,430,000円

治療期間

1年

リスク・備考 ・治療中、発音しにくい場合があります
・治療中、舌が動かしにくいことがあります
・治療中、装置によってまれに頬の内側が傷つき、口内炎になる場合があります
・歯の移動に伴って、違和感や痛みを感じる場合があります
・冷たいものを飲んだときに歯がしみる「知覚過敏」の症状が出る場合があります
・正しいブラッシングやメンテナンスを行わない場合、虫歯や歯周病のリスクが高まります

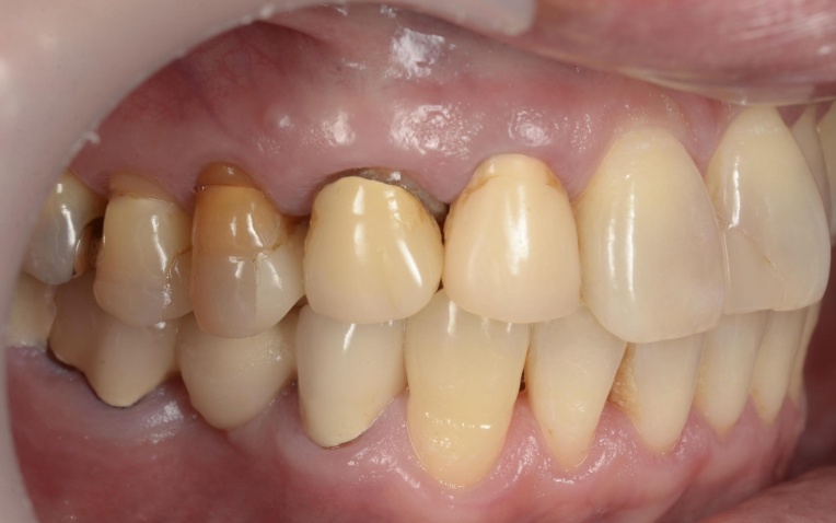
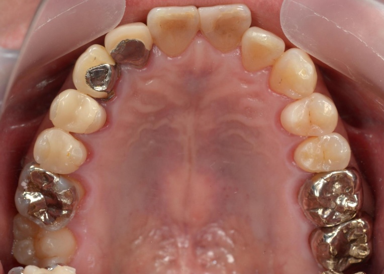
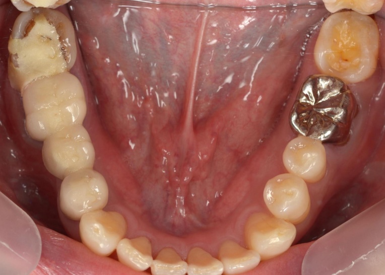
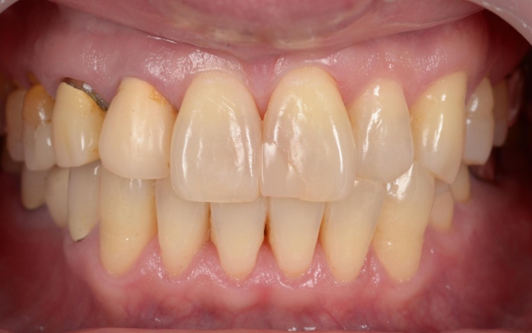
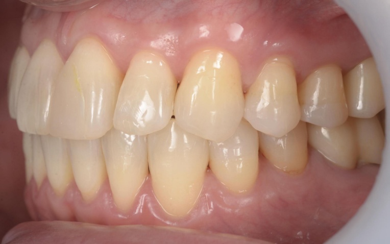
治療前





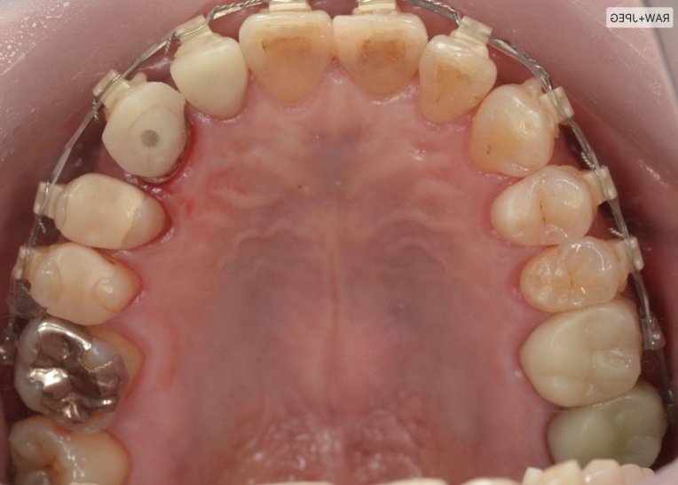
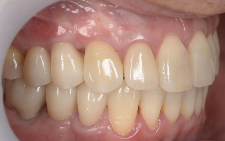
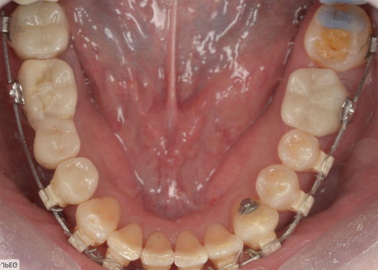
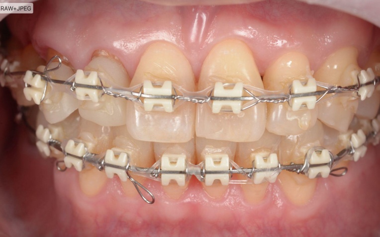
治療中





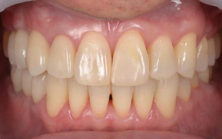
治療後






   
医学系研究における診療情報利用に関するお知らせ

contact

お問い合わせ・お申し込みはこちら

ご依頼やご質問がございましたら、メールにてお問い合わせください。
送付いただいた内容を確認の上、担当者よりご連絡させていただきます。

access

医院情報

六本木カマエデンタルオフィス

住所
〒106-0032
東京都港区六本木7-4-1スマイリービル1階
アクセス
都営地下鉄大江戸線  六本木駅  7番出口より徒歩3
東京メトロ日比谷線  六本木駅  4a出口より徒歩3
東京メトロ千代田線  乃木坂駅  3番出口より徒歩4
電話番号
03-5772-4618
診療時間 日・祝日
11:00-14:00 ×
15:00-19:00 ×

休診日:土曜・日曜・祝日

 

△…基本的に第一土曜のみ診療いたします。

※月に一度、土曜日診療を行っております。