
2026.03.24
|
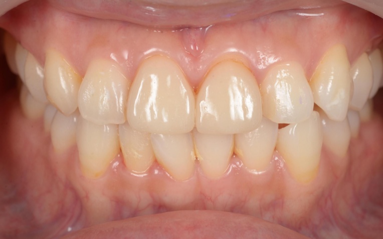
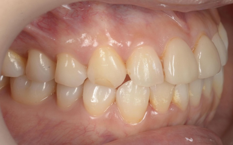
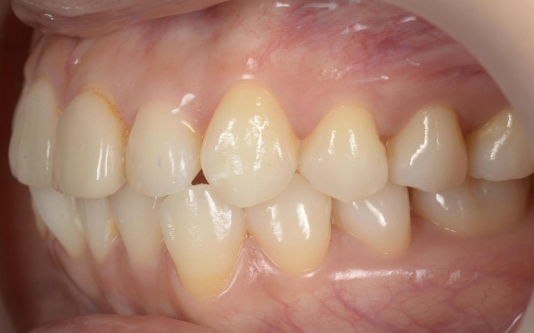
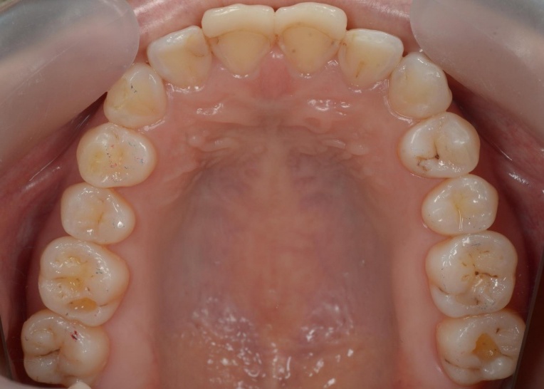
30代女性 |
|
| 相談内容 |
「友人の歯科医院で前歯の審美治療を受けるにあたり、口腔内の環境を整えるための矯正治療が必要とのことで、紹介を受けて受診した」とご相談いただきました。 |
| 診断結果 |
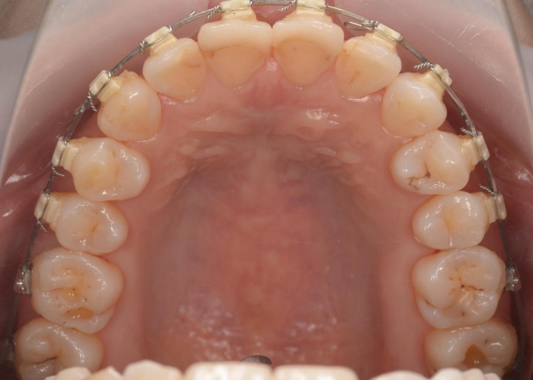
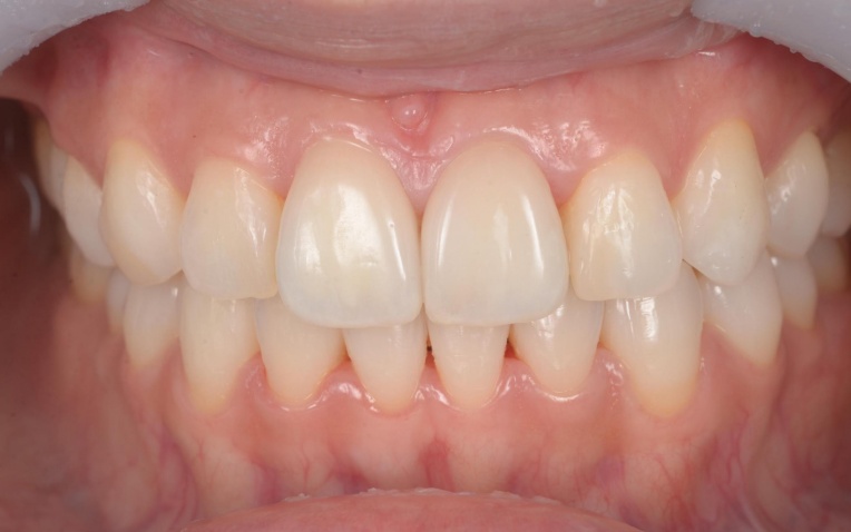
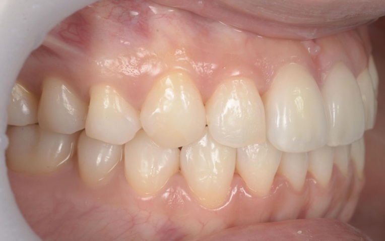
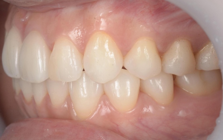
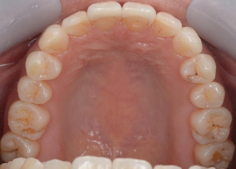
拝見したところ、上前歯がやや出っ歯でした。 |
| 治療内容 |
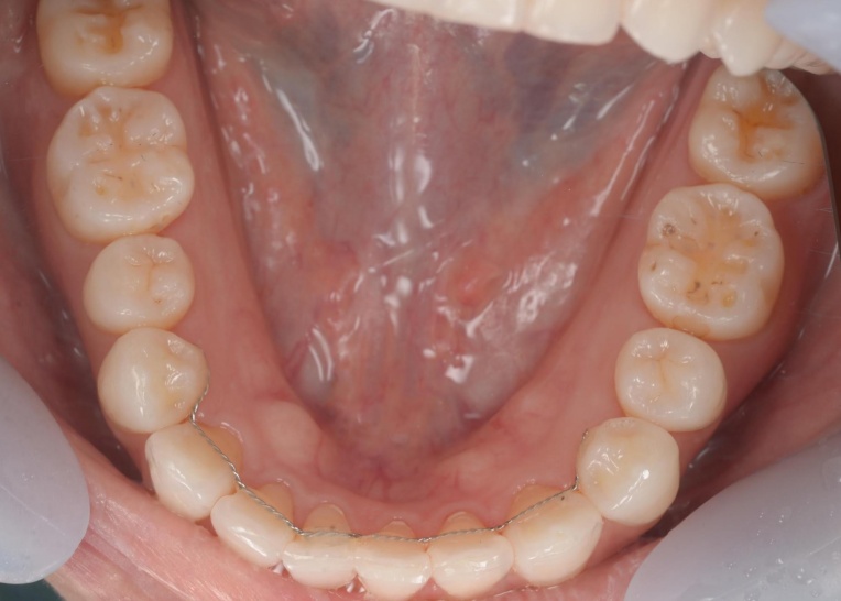
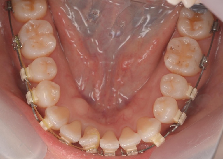
歯並びを改善する方法としてワイヤー矯正を提案し、同意いただきました。 |
| 費用 |
1,430,000円 |
| 治療期間 |
1年 |
| リスク・備考 | ・治療中、発音しにくい場合があります ・治療中、舌が動かしにくいことがあります ・治療中、装置によってまれに頬の内側が傷つき、口内炎になる場合があります ・歯の移動に伴って、違和感や痛みを感じる場合があります ・冷たいものを飲んだときに歯がしみる「知覚過敏」の症状が出る場合があります |













2023.12.05

2023.12.04

2023.11.08

2023.11.07

2023.10.04

2023.10.03

2023.08.03

2023.08.03

2023.07.05
ご依頼やご質問がございましたら、メールにてお問い合わせください。
送付いただいた内容を確認の上、担当者よりご連絡させていただきます。
六本木カマエデンタルオフィス
| 診療時間 | 月 | 火 | 水 | 木 | 金 | 土 | 日・祝日 |
|---|---|---|---|---|---|---|---|
| 11:00-14:00 | 〇 | 〇 | 〇 | 〇 | 〇 | △ | × |
| 15:00-19:00 | 〇 | 〇 | 〇 | 〇 | 〇 | △ | × |
休診日:土曜・日曜・祝日
△…基本的に第一土曜のみ診療いたします。
※月に一度、土曜日診療を行っております。
