40代男性 矯正治療後の不調をワイヤー矯正などを併用して治療した症例

矯正
2026.03.05

40代男性

相談内容

「他院で矯正治療をしたら、頭痛や首周りのこりが酷くなってしまったので診てほしい」とご相談いただきました。

診断結果

拝見したところ、抜歯矯正によって歯間に不要な隙間が生まれ、歯列全体のバランスが崩れています。
また、矯正力の強さや力をかける方向が適切ではなかったおそれがあり、歯根が短くなる重度の「歯根吸収」が複数の歯に見られました。歯根が短くなると歯を支える力が弱くなるため、歯が揺れやすくなります。

これらの問題が重なった結果、噛み合わせが不安定になって顎の位置にもずれが生じ、頭痛や首のこりなどの症状につながったと考えられました。
このまま放置すると、歯の揺れがさらに進行し、噛み合わせの乱れや顎のずれなどが慢性化するだけでなく、歯の寿命が短くなるリスクもあります。

以上のことから、歯列と噛み合わせを改善する治療が必要だと判断しました。

治療内容

歯列全体のバランス改善と噛み合わせの安定を図るため、以下の流れで行う治療計画を提案し、同意いただきました。

1:バイト挙上
顎が本来の位置に戻りやすくなるように、噛み合わせの高さを持ち上げる治療のことです。
メリット:下顎を安定した位置に戻すことができる。その後の矯正治療がスムーズになる
デメリット:一時的に違和感を覚えることがある

2:ワイヤーを用いた矯正治療
奥歯の高さを出し、前歯の微調整を行います。
メリット:噛み合わせの高さと前歯の位置が整い、機能性と審美性が向上する
デメリット:ワイヤーを装着するため、見た目の変化や軽度の痛みが生じることがある

3:奥歯の再治療
丈夫で審美性の高い「セラミック」で、奥歯を治療します。
メリット:自然な見た目になる。長期的に噛み合わせが安定しやすくなる
デメリット:自費診療なので比較的費用がかかる。強い力がかかると、セラミックが割れることがある

歯根吸収が著しい部位については、すぐに歯を動かすと症状が悪化するおそれがあります。
そのため、まずは歯根吸収の進行を食い止めて周囲の組織を安定させてから、慎重に矯正治療を行う必要がありますが、その点もふまえて詳しく検査した結果、矯正治療が可能であると判断しました。

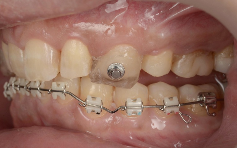
まずはバイト挙上を行います。上顎には、下顎の位置を安定させるための「スプリント」を使用し、下顎奥歯には噛み合わせを調整するための仮歯を装着しました。
この状態で下顎にのみワイヤーを装着し、安定した下顎の位置をキープしながらワイヤー矯正治療へ移行します。

矯正治療は、顎の痛みや噛み合わせの違和感などが落ち着き、安定した状態で進めることが重要です。
そのため、上顎前歯には上顎のスプリントを必要な部分だけカットして歯に直接接着し、噛み合わせの高さを維持するストッパーとして活用しました。
これにより、上顎の装置が矯正のガイド役となり、安定した下顎の位置を崩さずに精密なワイヤー矯正を行うことが可能です。

また、上顎には上下の噛み合わせの前後関係を整えるための補助装置「顎間ゴム」を使用し、噛み合わせを正しい位置関係へ導く「咬合(こうごう)誘導」を行っています。

顎の位置が改善し、噛み合わせが安定したことを確認したあと、装着していた仮歯を除去してセラミックの被せ物に置き換えました。

最後に噛み合わせや見た目に問題がないかをしっかりとチェックして、治療を終了しています。

費用

6,710,000円

治療期間

約2年

リスク・備考 ・治療中、発音しにくい場合があります
・治療中、舌が動かしにくいことがあります
・治療中、装置によってまれに頬の内側が傷つき、口内炎になる場合があります
・歯の移動に伴って、違和感や痛みを感じる場合があります
・冷たいものを飲んだときに歯がしみる「知覚過敏」の症状が出る場合があります
・噛み合わせや歯ぎしりが強い場合、セラミックが割れる可能性があります

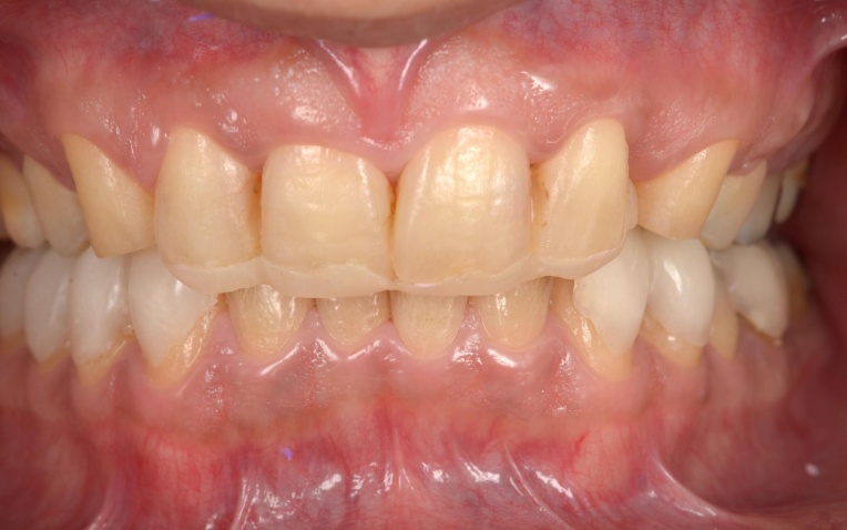
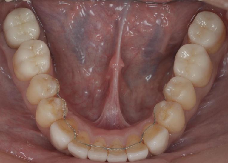
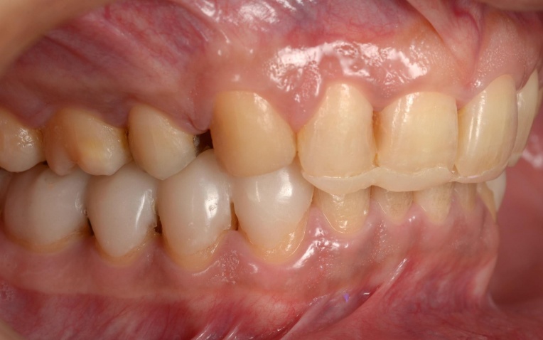
治療前





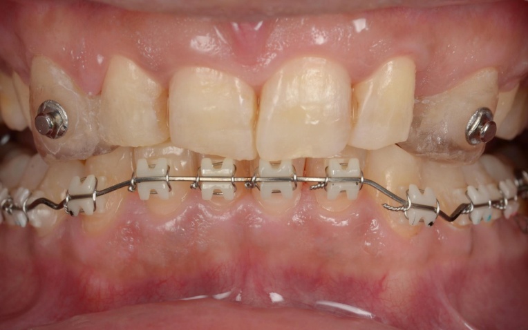
治療中





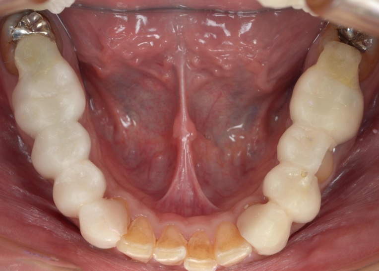
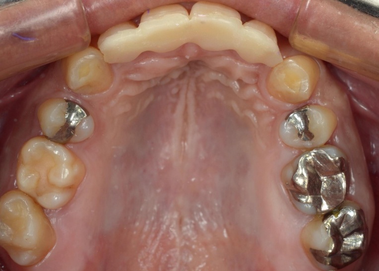
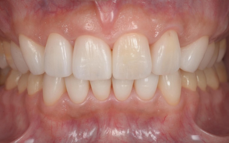
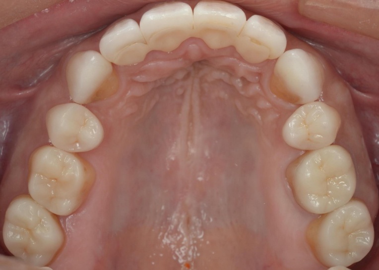
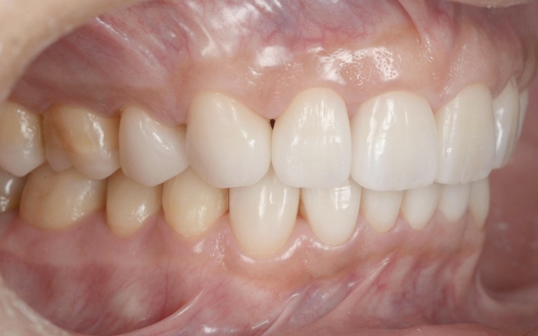
治療後






   
医学系研究における診療情報利用に関するお知らせ

contact

お問い合わせ・お申し込みはこちら

ご依頼やご質問がございましたら、メールにてお問い合わせください。
送付いただいた内容を確認の上、担当者よりご連絡させていただきます。

access

医院情報

六本木カマエデンタルオフィス

住所
〒106-0032
東京都港区六本木7-4-1スマイリービル1階
アクセス
都営地下鉄大江戸線  六本木駅  7番出口より徒歩3
東京メトロ日比谷線  六本木駅  4a出口より徒歩3
東京メトロ千代田線  乃木坂駅  3番出口より徒歩4
電話番号
03-5772-4618
診療時間 日・祝日
11:00-14:00 ×
15:00-19:00 ×

休診日:土曜・日曜・祝日

 

△…基本的に第一土曜のみ診療いたします。

※月に一度、土曜日診療を行っております。